【50代男性】
インプラント症例
インプラント治療を行なった
50代男性患者様の紹介です。
50代男性患者様の紹介です。
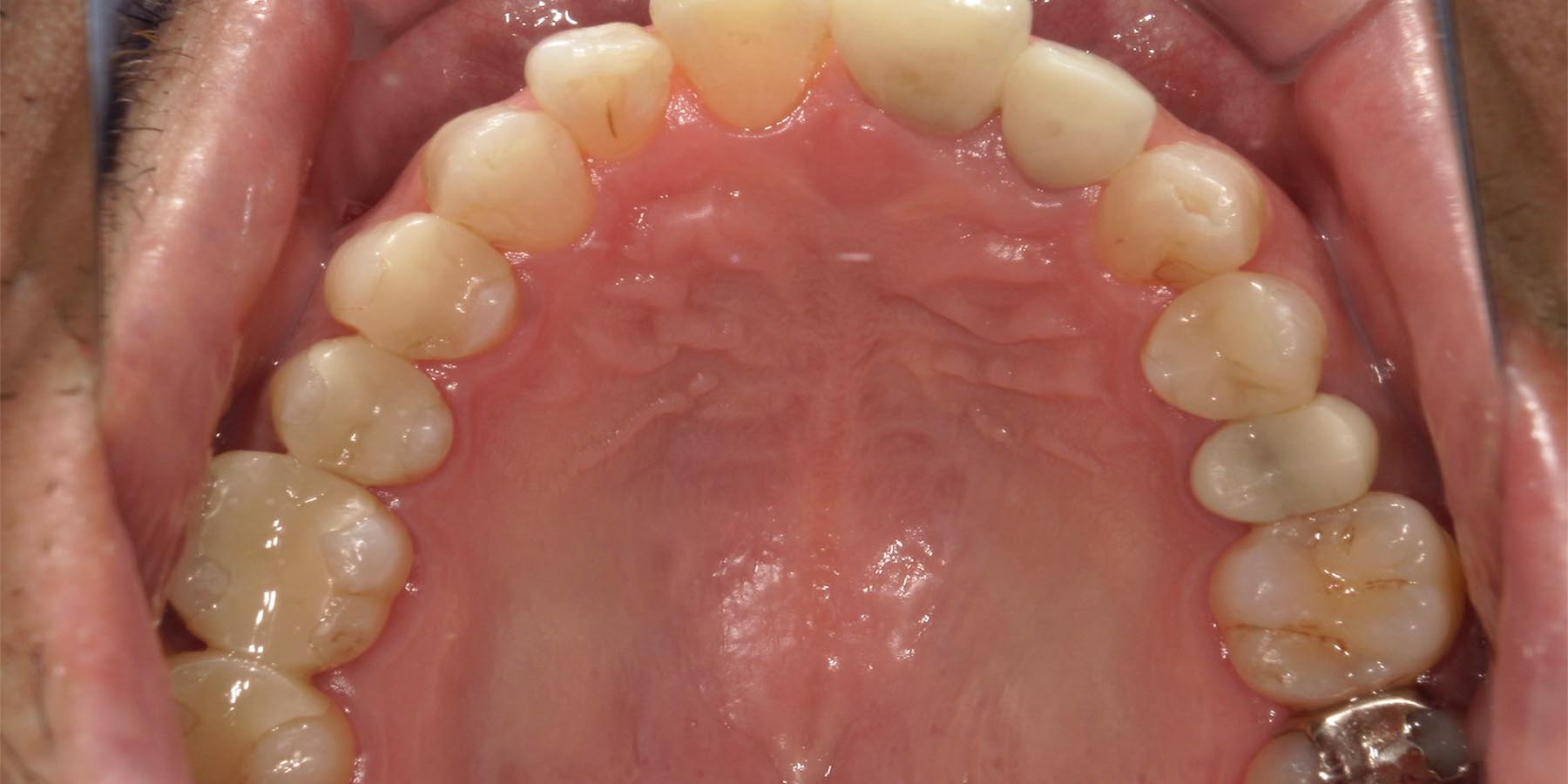
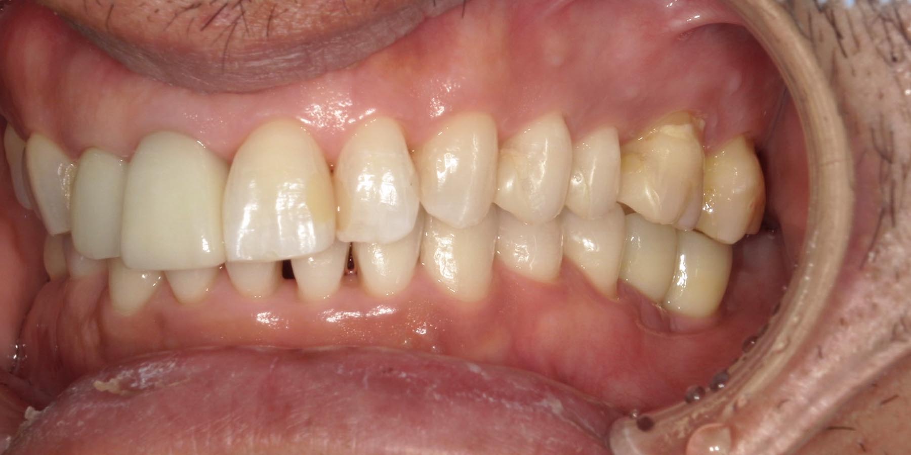
治療前

治療後

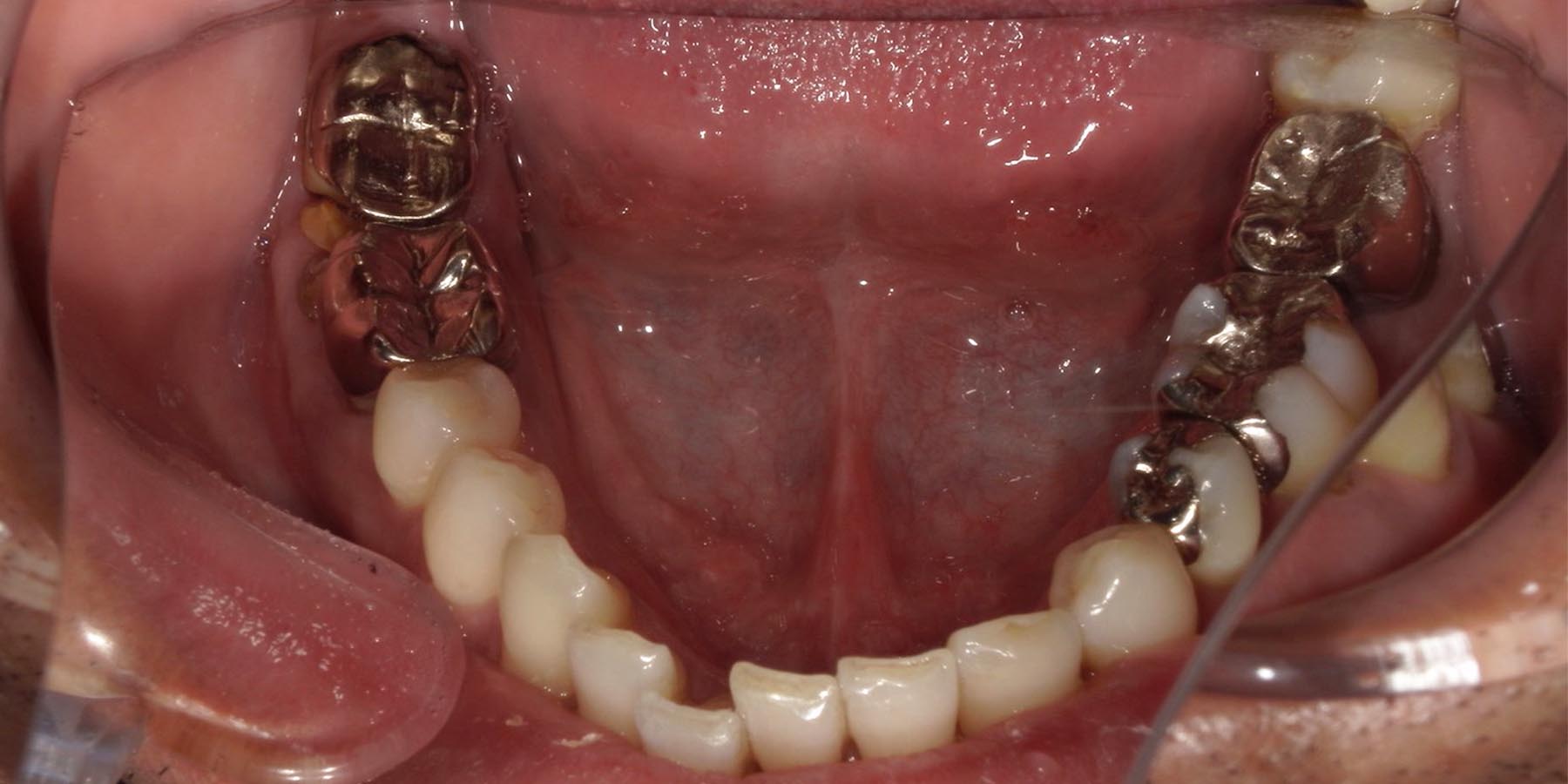
治療前

治療後

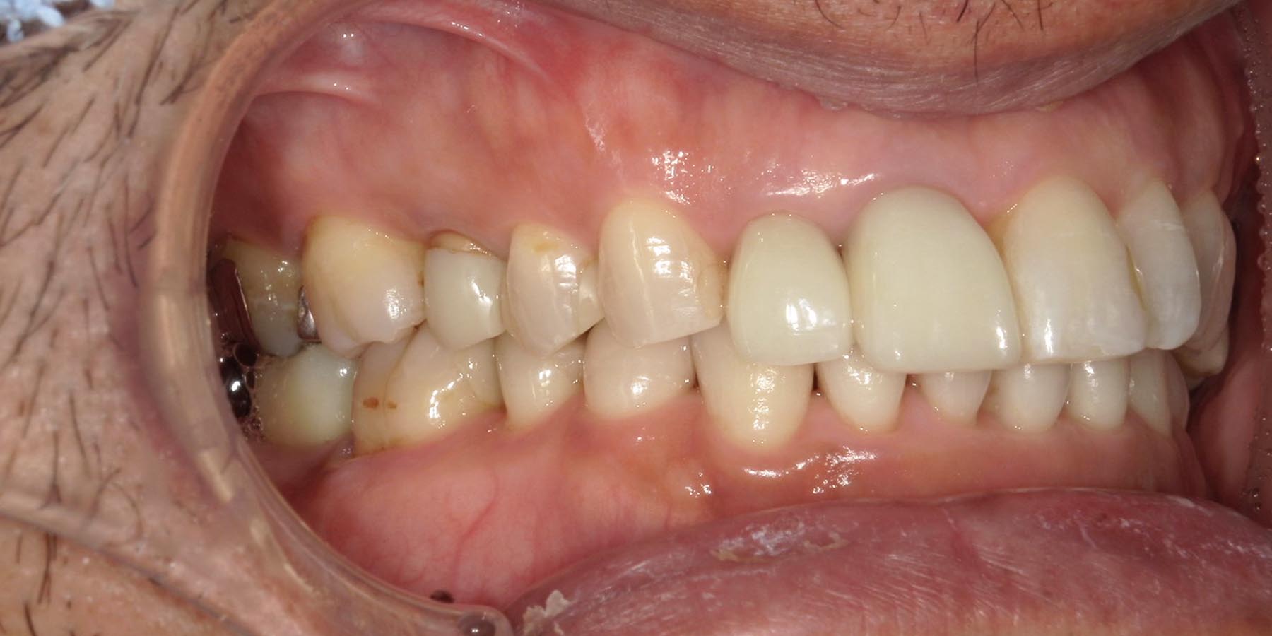
治療前

治療後

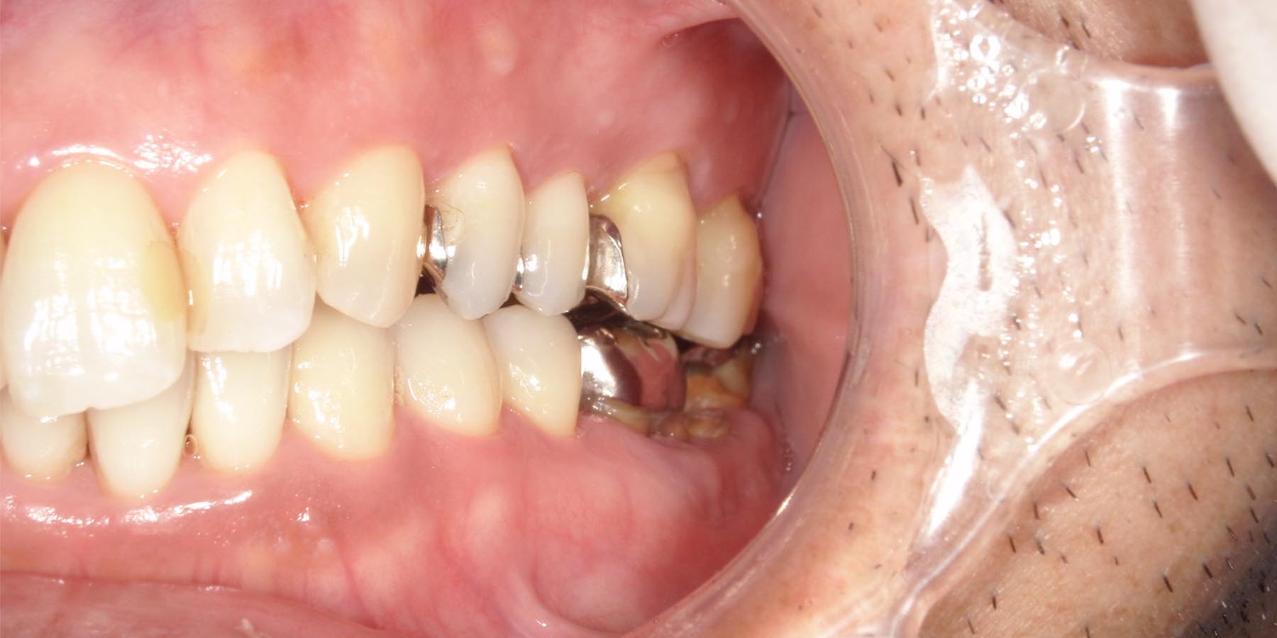
治療前

治療後

治療前

治療後

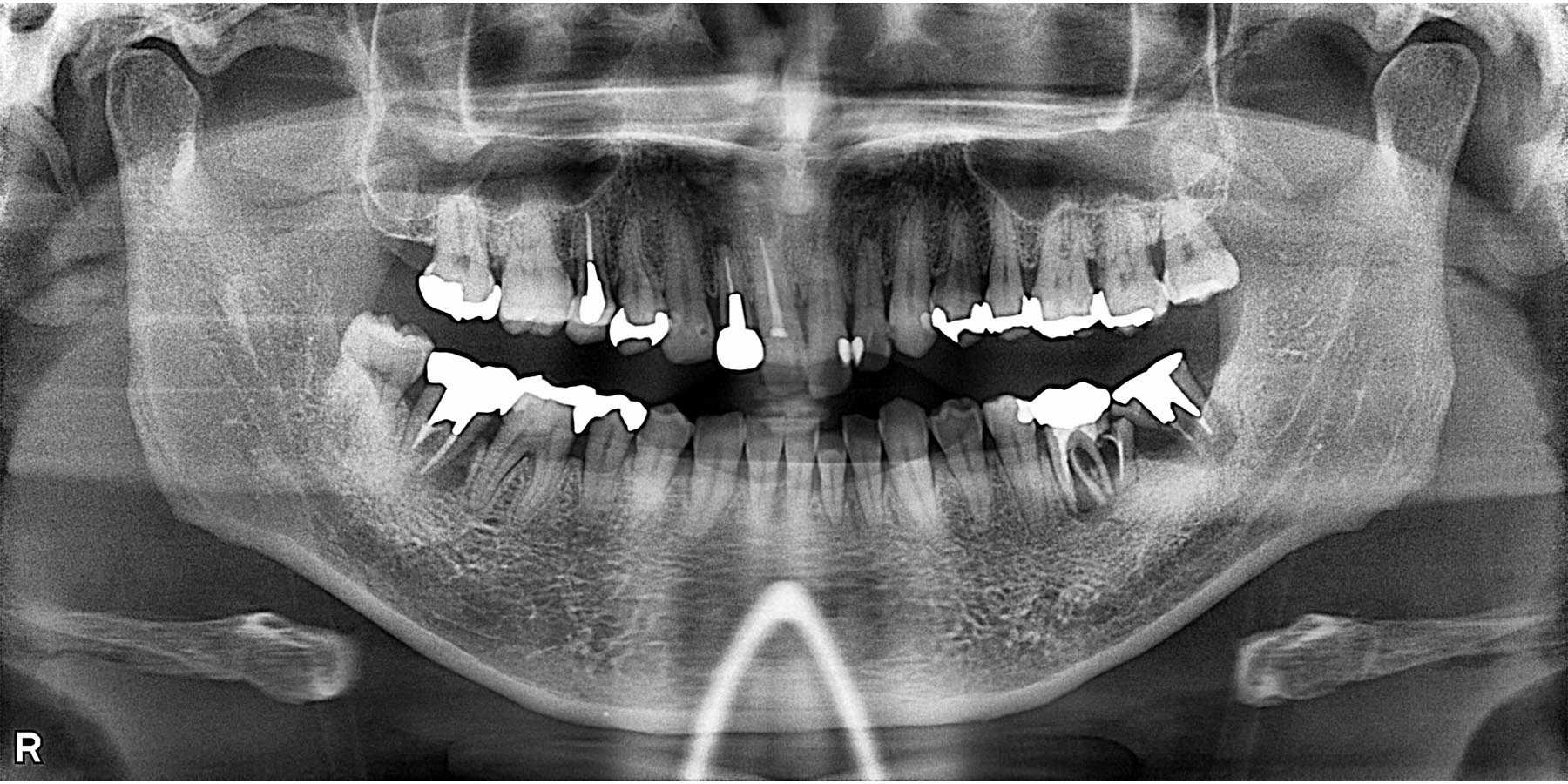
治療前(CT)

治療後(CT)

| 担当医 | 林泰生先生 |
|---|---|
| 主訴 | 全体的に歯をキレイにしたい |
| 期間 | 約1年 |
| 費用 | 約2,500,000円 |
| 治療内容 | 矯正治療(前歯部) 右下7.左下5.6インプラント治療(3本) 前歯、奥歯セラミック治療(5本) |
| 治療に伴うリスク | 手術中に神経に触れることがあり、麻痺や痺れ、痛みが生じることがあります。骨が弱い場合、インプラントが安定せずに外れることがあります。 |










LINEで予約