【40代男性】
インプラント治療
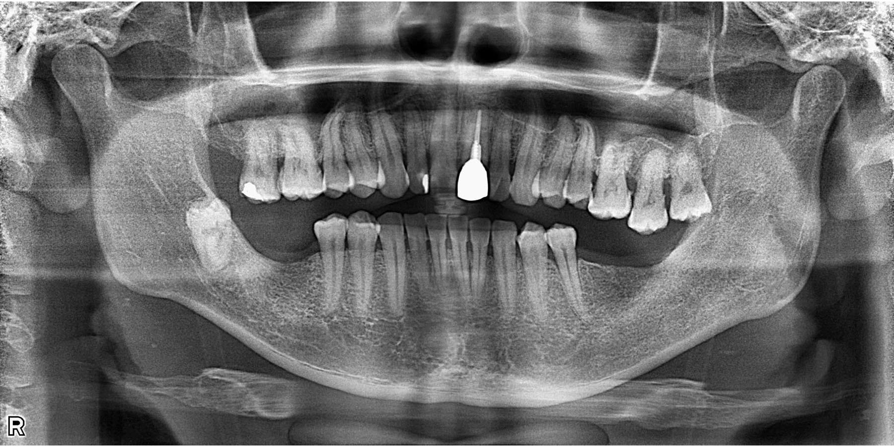
インプラント治療を行なった40代男性患者様の紹介です。
治療前

治療後

治療前(CT)

インプラント埋入後

被せ物セット完了

被せ物セット完了

| 担当医 | 林泰生先生 |
|---|---|
| 主訴 | 左右の奥歯で噛めない 怖くてインプラント治療に抵抗がある |
| 期間 | 約6ヶ月 |
| 費用 | 約900,000円+静脈内鎮静代(88,000円) |
| 治療内容 | 麻酔科認定医による静脈内鎮静下で 左右下顎6のインプラント治療(2本) |
| 治療に伴うリスク | 手術中に神経に触れることがあり、麻痺や痺れ、痛みが生じることがあります。骨が弱い場合、インプラントが安定せずに外れることがあります。 |










LINEで予約