【50代男性】
インプラント治療
インプラント治療を行なった50代男性患者様の紹介です。
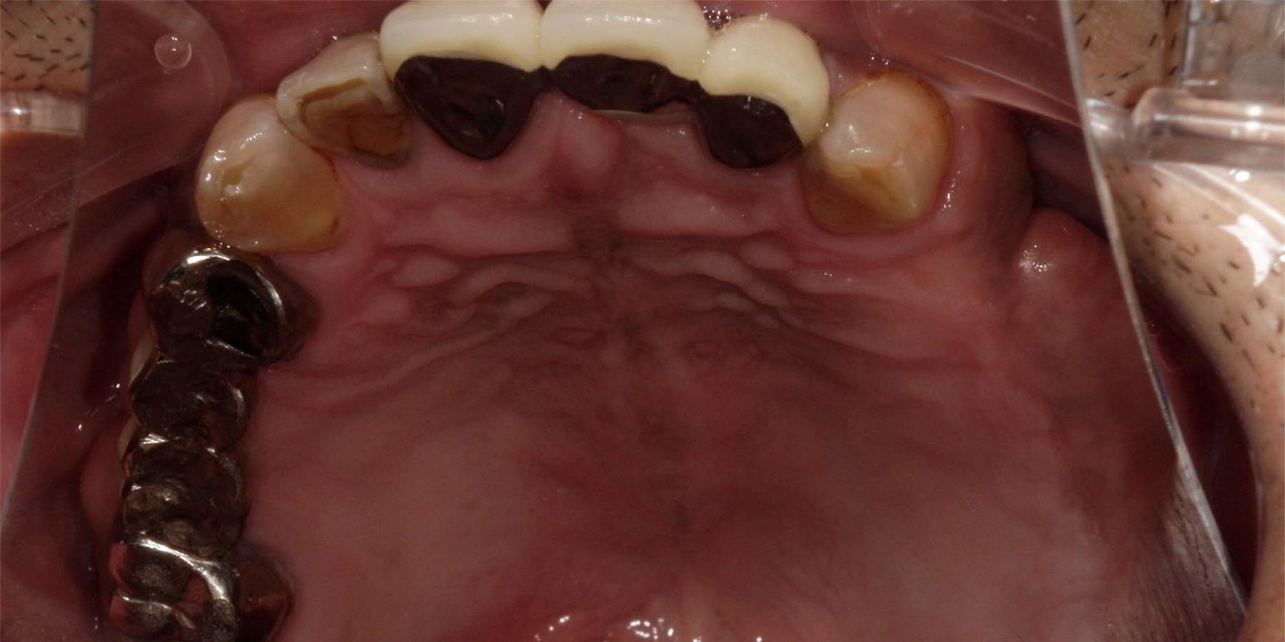
治療前

治療後

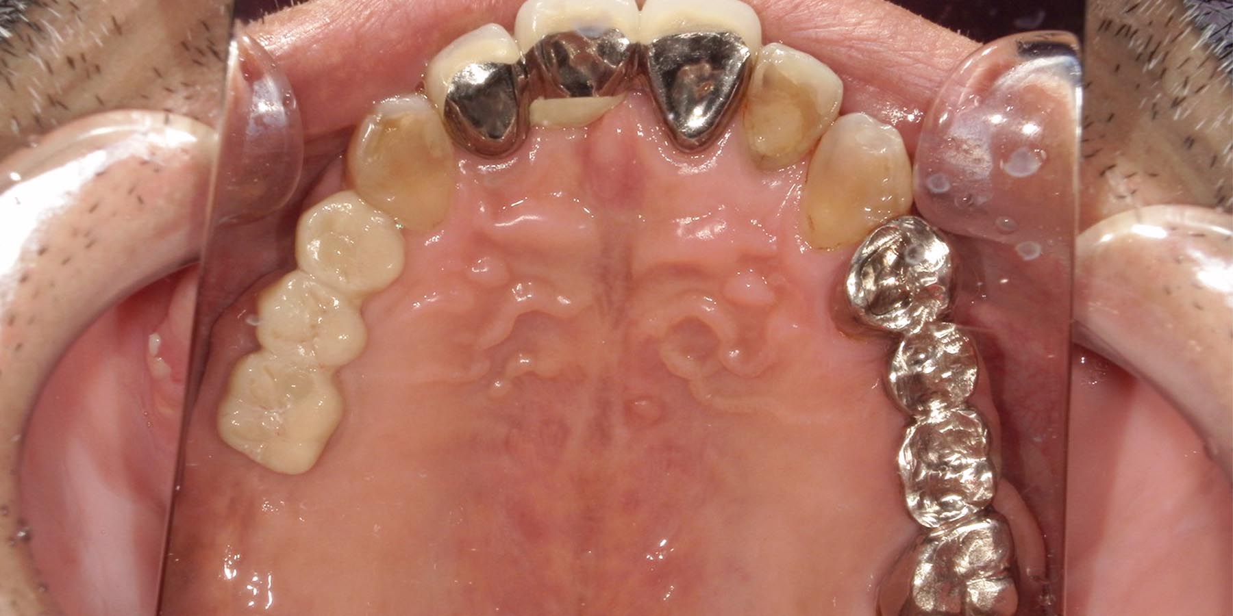
治療前

治療後

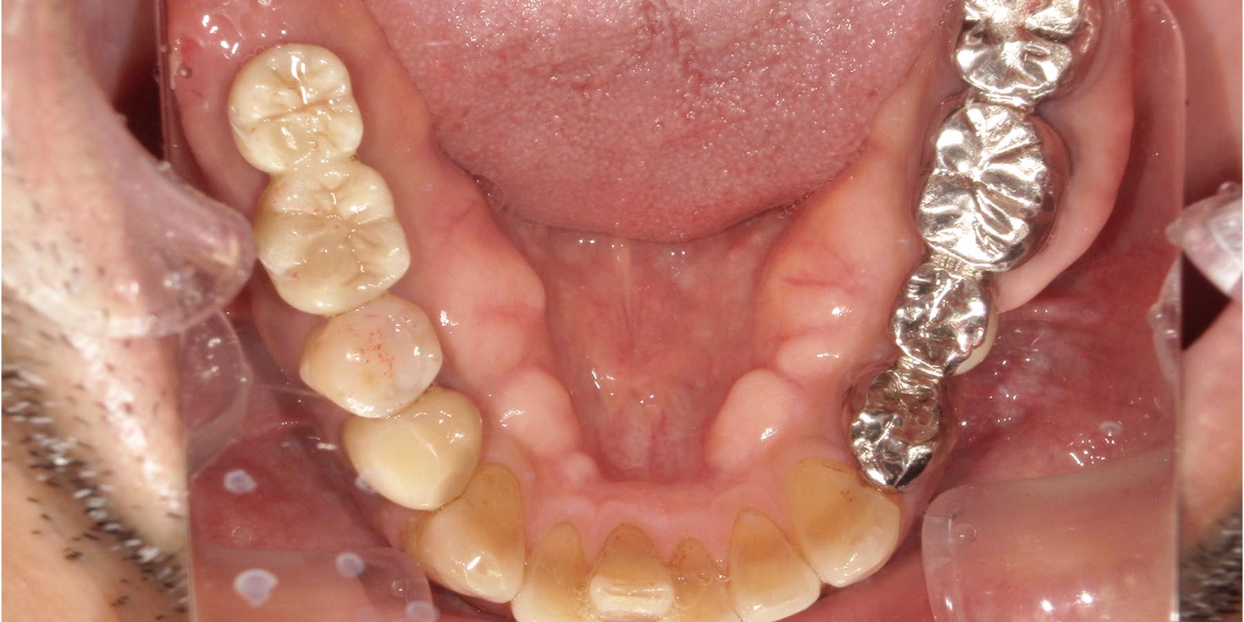
治療前

治療後

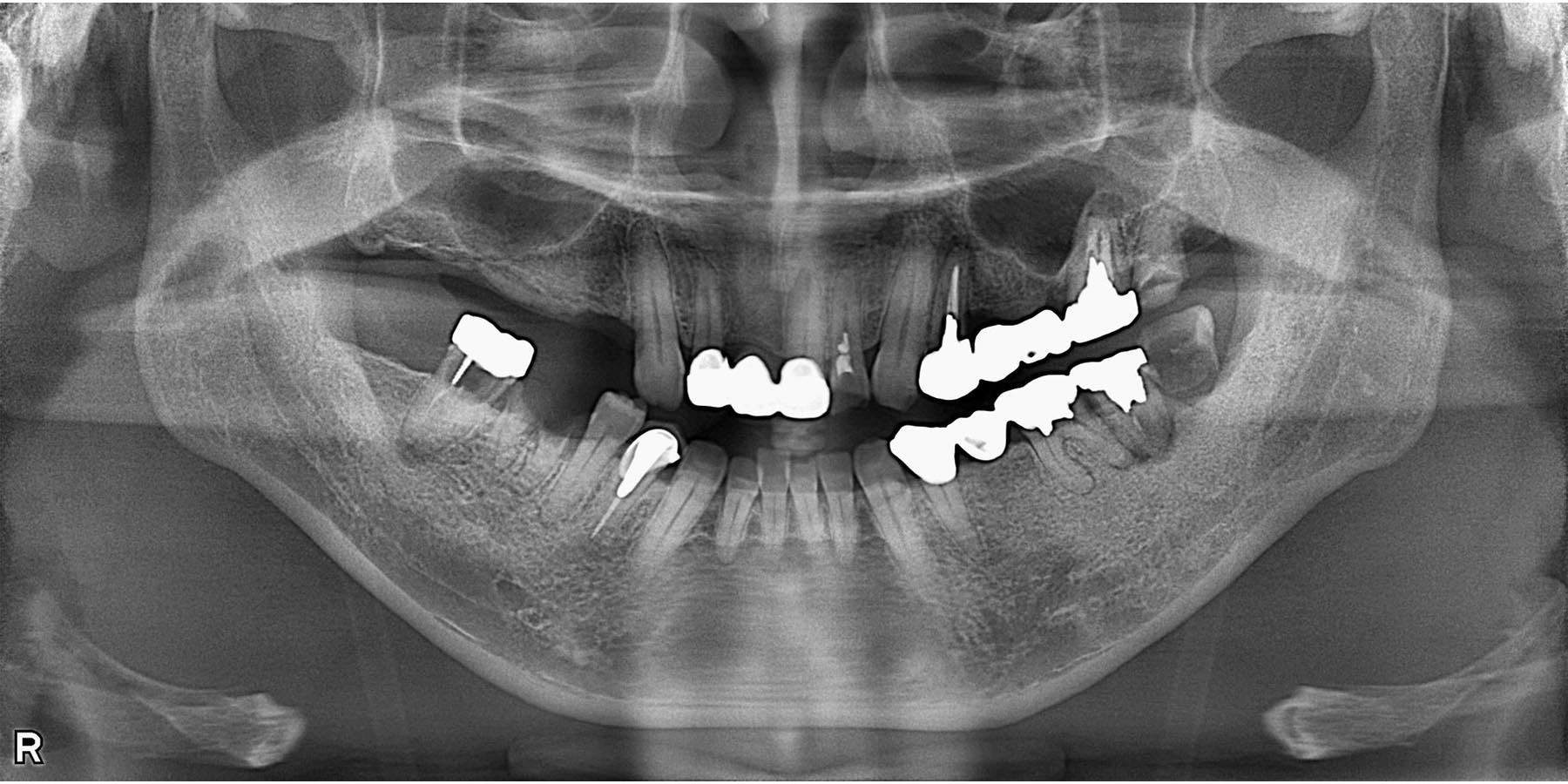
治療前(CT)
インプラント埋入後
被せ物セット完了
| 担当医 | 林泰生先生 |
|---|---|
| 主訴 | ボロボロなので、全体的に治療して欲しい。 怖くてインプラント治療に抵抗がある。 |
| 期間 | 約8ヶ月 |
| 費用 | 約2,300,000円➕静脈内鎮静代(88,000円) |
| 治療内容 | 麻酔科認定医による静脈内鎮静下で右下6.7、右上4.6のインプラント治療(4本) 右上6部は骨不足のためソケットリフト |
| 治療に伴うリスク | 手術中に神経に触れることがあり、麻痺や痺れ、痛みが生じることがあります。骨が弱い場合、インプラントが安定せずに外れることがあります。 |













LINEで予約