【40代女性】
インプラント治療
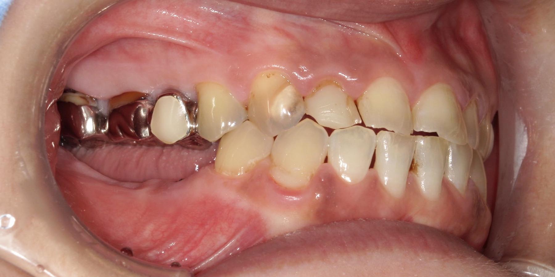
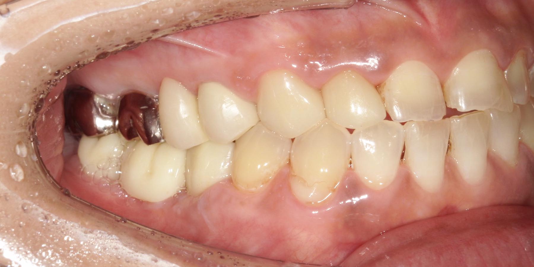
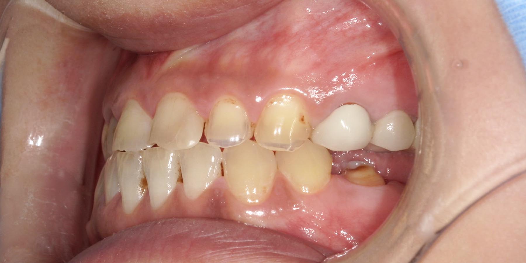
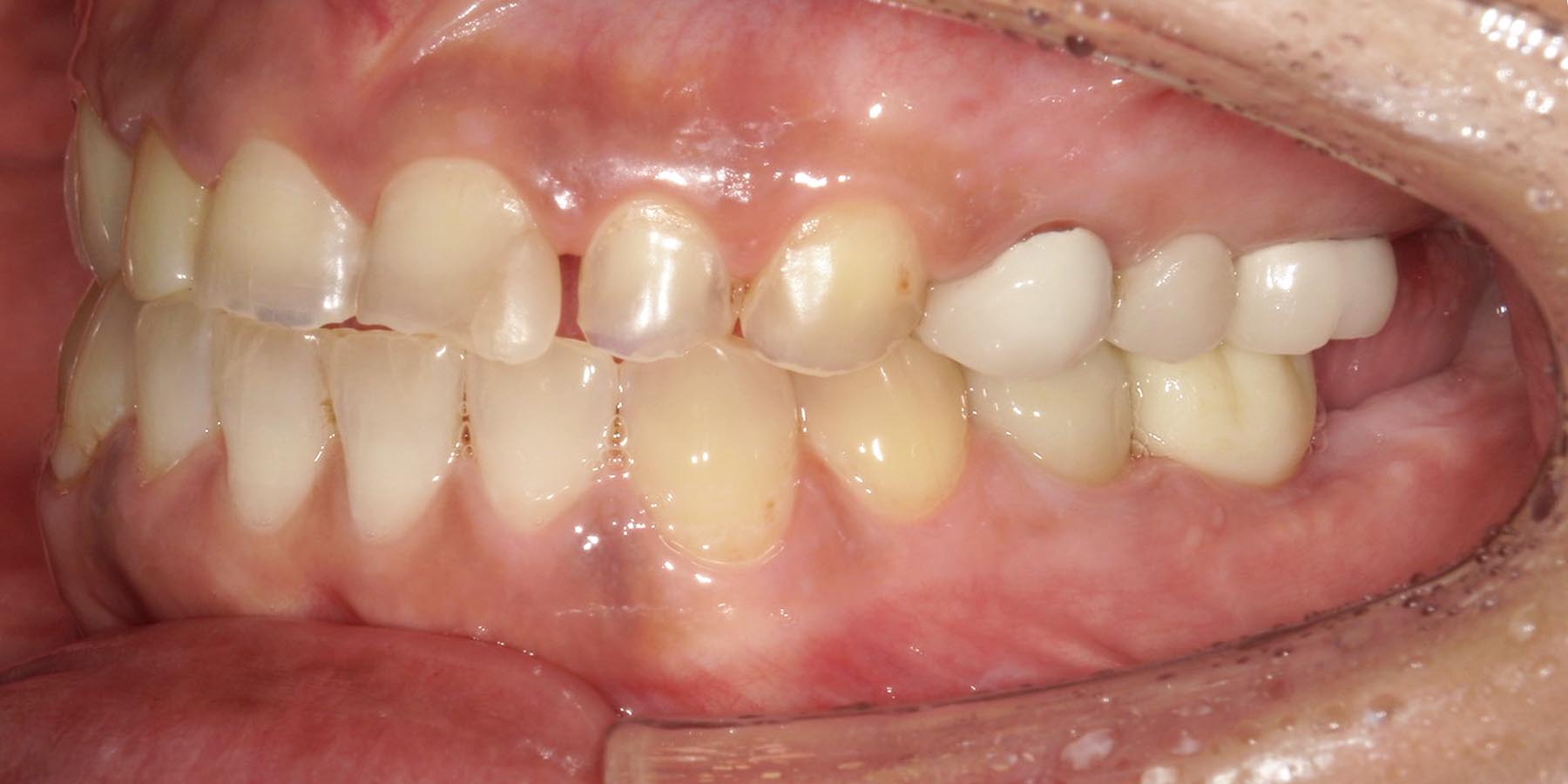
インプラント治療を行なった40代女性患者様の紹介です。
治療前

治療後

治療前

治療後

治療前

治療後

治療前(CT)

インプラント埋入後

被せ物セット完了

被せ物セット完了

| 担当医 | 林泰生先生 |
|---|---|
| 主訴 | 下顎のインプラント治療をしたい |
| 期間 | 約4ヶ月 |
| 費用 | 約1,600,000円 |
| 治療内容 | 左下5.7右下6のインプラント治療(3本) |
| 治療に伴うリスク | 手術中に神経に触れることがあり、麻痺や痺れ、痛みが生じることがあります。骨が弱い場合、インプラントが安定せずに外れることがあります。 |










LINEで予約