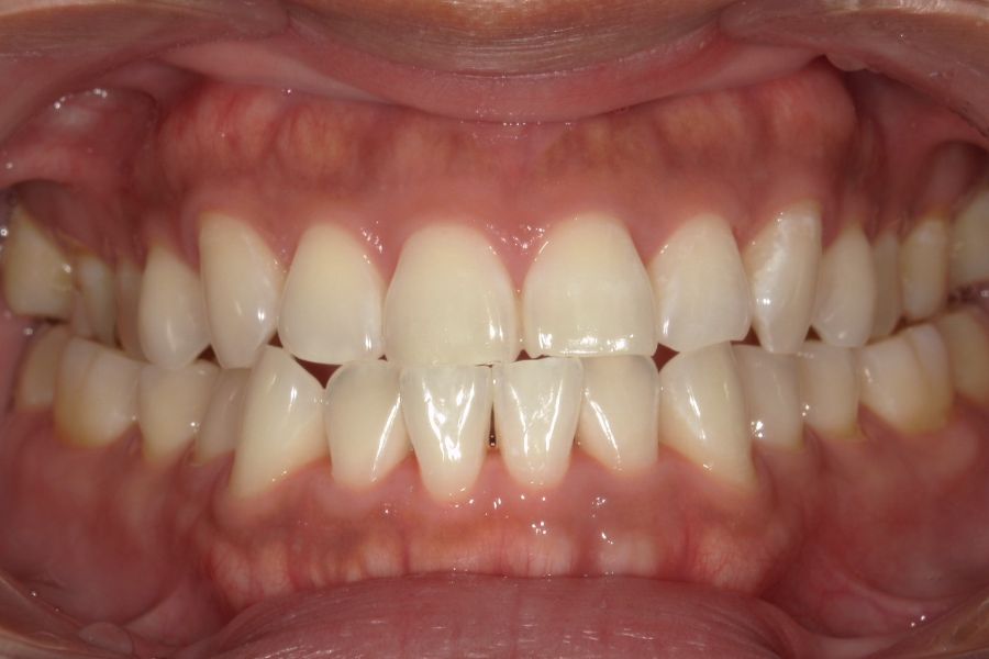
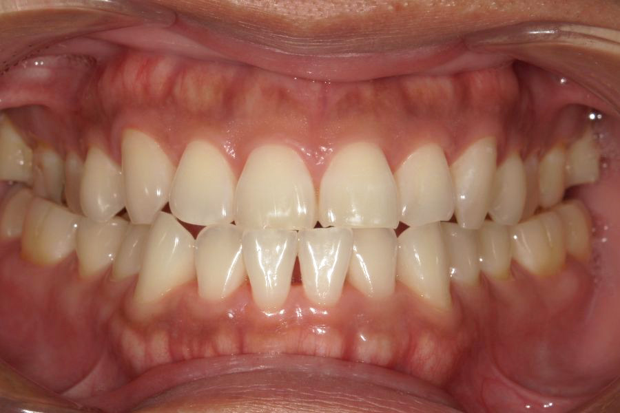
【60代女性】
歯周病治療
- 担当医
- 長﨑公壽先生
- 主訴
- 歯がグラグラする
- 期間
- 約3ヶ月
- 費用
- 保険範囲内
- 治療内容
- 歯周病治療
- 治療に伴うリスク
- ・歯肉退縮するため、知覚過敏の症状が出る
・見た目の変化がある
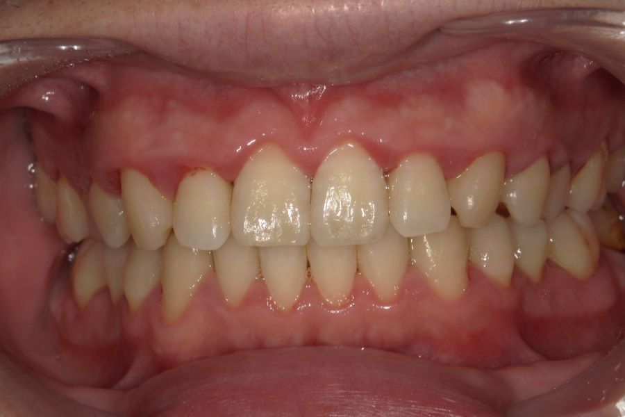
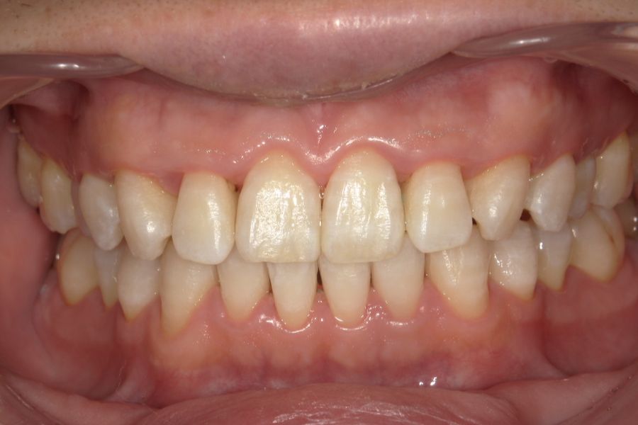
【30代男性】
オフィス
ホワイトニング
- 担当医
- 長﨑公壽先生
- 主訴
- 歯を白くしたい
- 期間
- 1日
- 費用
- 16,500円
- 治療内容
- オフィスホワイトニング1回
- 治療に伴うリスク
- ・薬剤の作用により一時的に知覚過敏の症状が出る可能性がある。
・歯の特徴により作用には個人差が生じやすく、一度の施術ではトーンアップの限界がある。また全ての歯が同じ色味ということはないため色ムラが出る可能性がある。
・ホワイトスポットの存在により一部白濁が強く見えるようになる可能性がある。
・薬剤が誤って歯肉や粘膜に付着した場合、一時的に白濁し疼痛が起きる可能性がある。(〜1日で消失することがほとんど)
・永久的な処置ではなく、生活習慣などの個人差によって色戻りが必ずある。(直後は色素を吸着しやすい状況なので色の濃い飲食を避けてください)
【30代男性】
オフィス
ホワイトニング
- 担当医
- 長﨑公壽先生
- 主訴
- 歯を白くしたい
- 期間
- 1週間
- 費用
- 33,000円
- 治療内容
- オフィスホワイトニング2回
- 治療に伴うリスク
- ・薬剤の作用により一時的に知覚過敏の症状が出る可能性がある。
・歯の特徴により作用には個人差が生じやすく、一度の施術ではトーンアップの限界がある。また全ての歯が同じ色味ということはないため色ムラが出る可能性がある。
・ホワイトスポットの存在により一部白濁が強く見えるようになる可能性がある。
・薬剤が誤って歯肉や粘膜に付着した場合、一時的に白濁し疼痛が起きる可能性がある。(〜1日で消失することがほとんど)
・永久的な処置ではなく、生活習慣などの個人差によって色戻りが必ずある。(直後は色素を吸着しやすい状況なので色の濃い飲食を避けてください)






LINEで予約