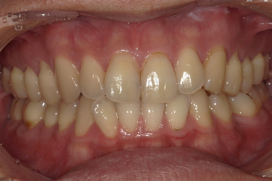
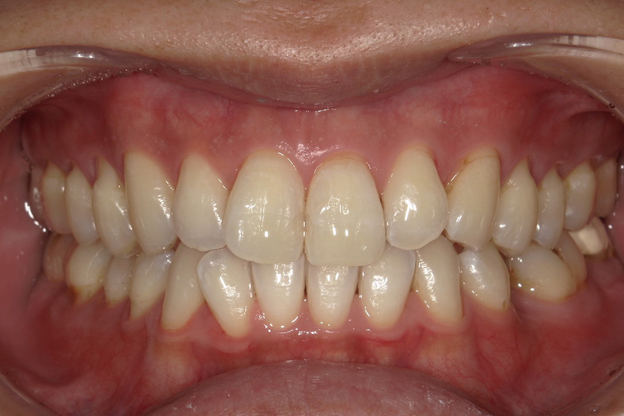
歯を白くしたい
- 担当医
- 長﨑公壽先生
- 主訴
- 歯を白くしたい
- 期間
- 約2か月
- 費用
- 49,500円
- 治療内容
- オフィスホワイトニング3回
- 治療に伴うリスク
- ・薬剤の作用により一時的に知覚過敏の症状が出る可能性
・歯の特徴により作用には個人差が生じやすく、一度の施術ではトーンアップの限界があること、全ての歯が同じ色味ということはないため色ムラが出る可能性
・ホワイトスポットの存在により一部白濁が強く見えるようになる可能性
・薬剤が誤って歯肉や粘膜に付着した場合、一時的に白濁し疼痛が起きる可能性(〜1日で消失することがほとんど)
・永久的な処置ではなく、生活習慣などの個人差によって色戻りが必ずあること(直後は色素を吸着しやすい状況なので色の濃い飲食を避けて頂く)


LINEで予約