【50代男性】
自費補綴症例
自費補綴を行なった
50代男性患者様の紹介です。
50代男性患者様の紹介です。
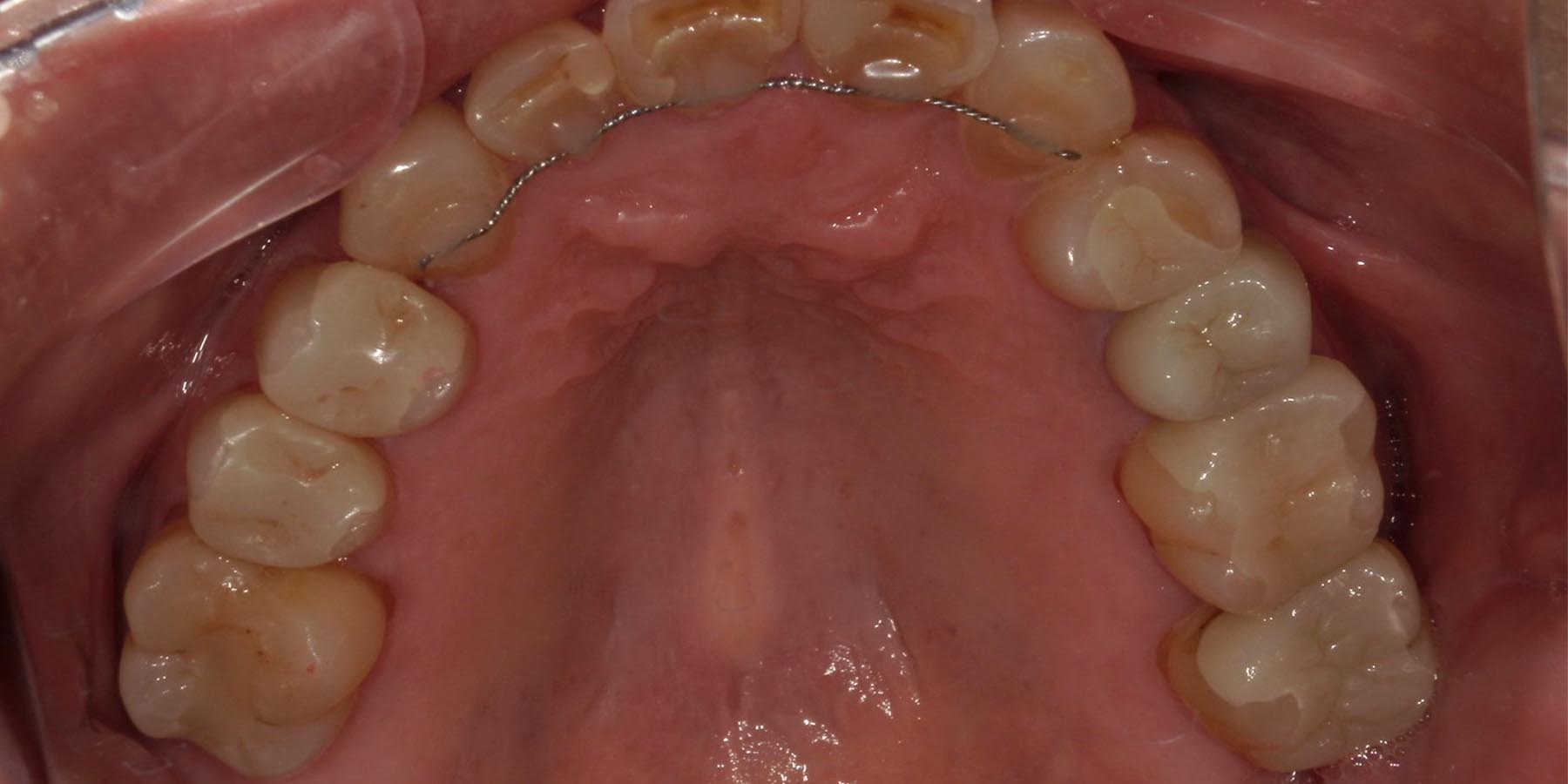
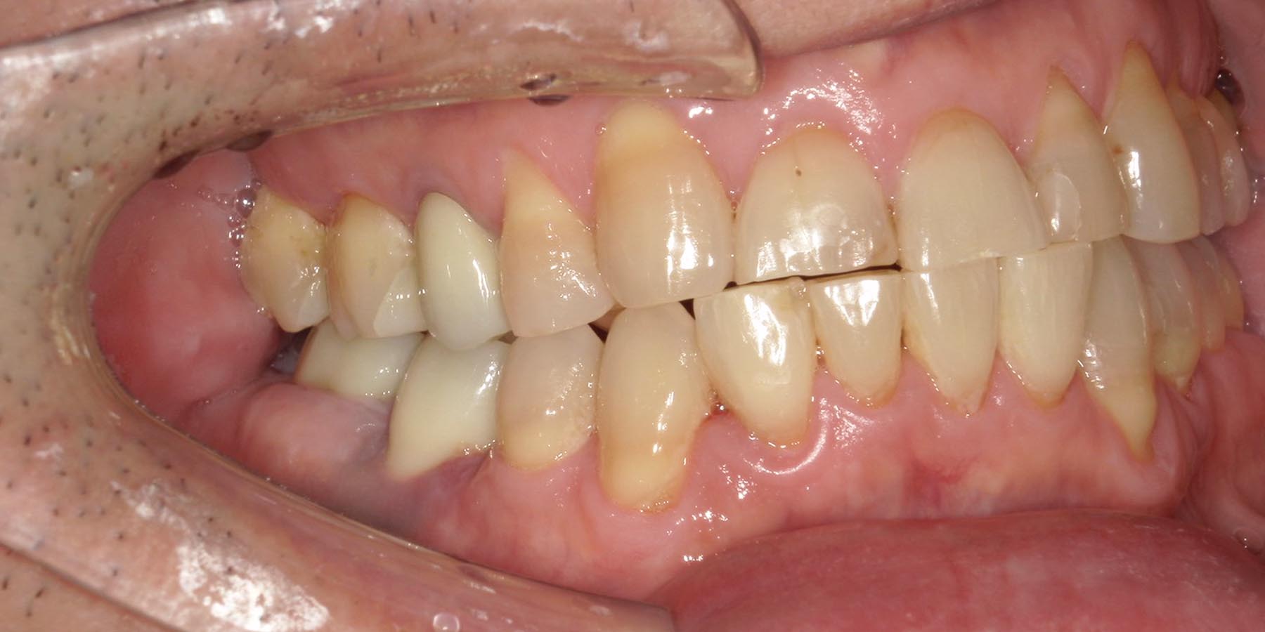
治療前

治療後

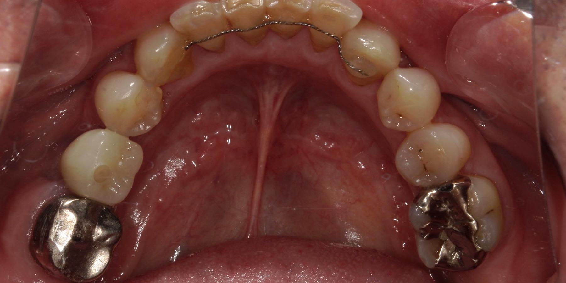
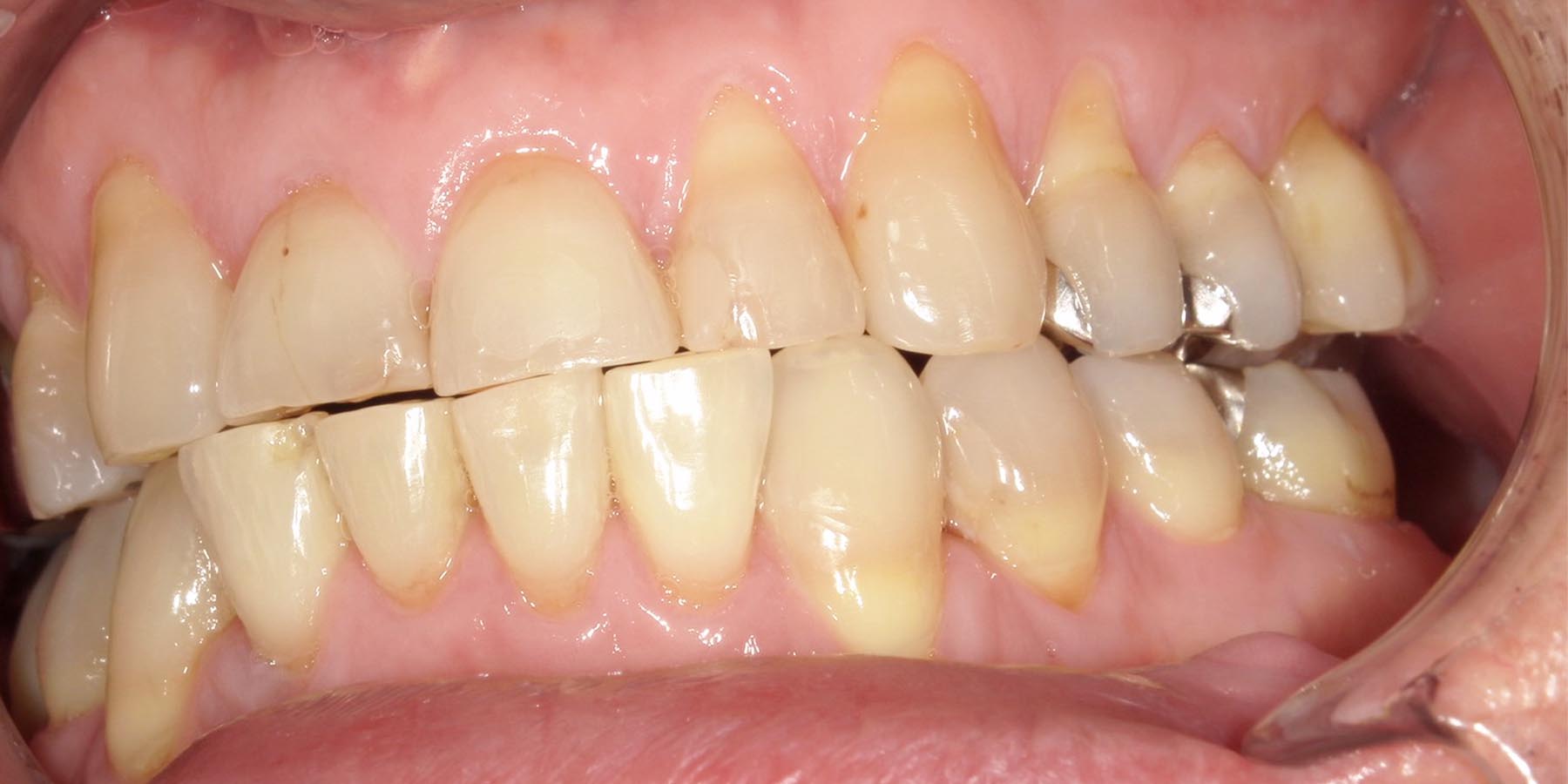
治療前

治療後

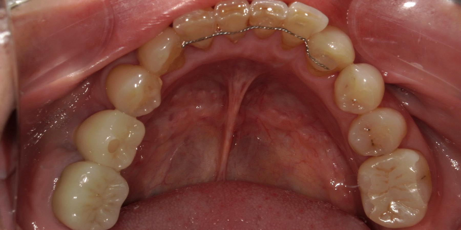
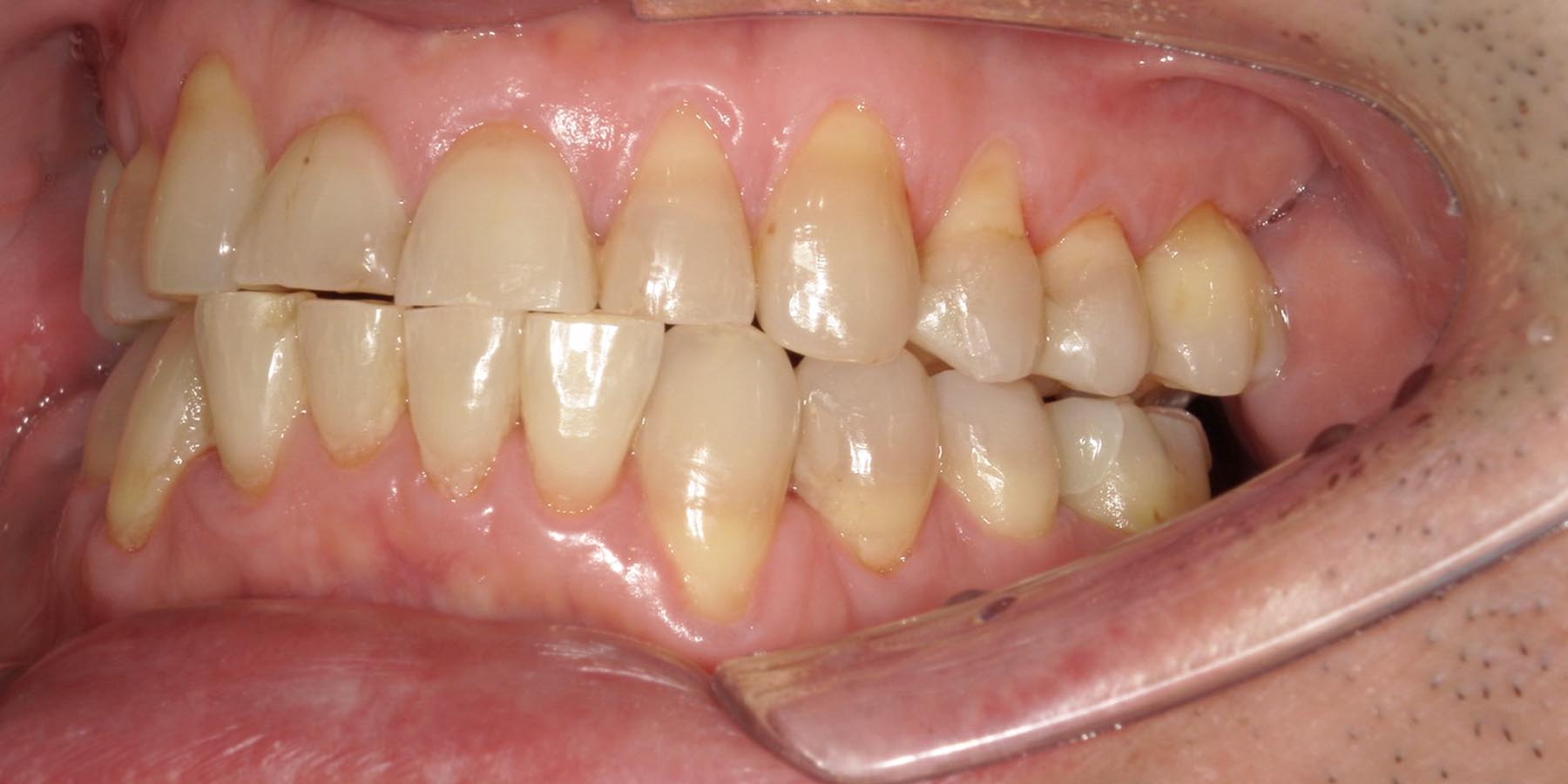
治療前

治療後

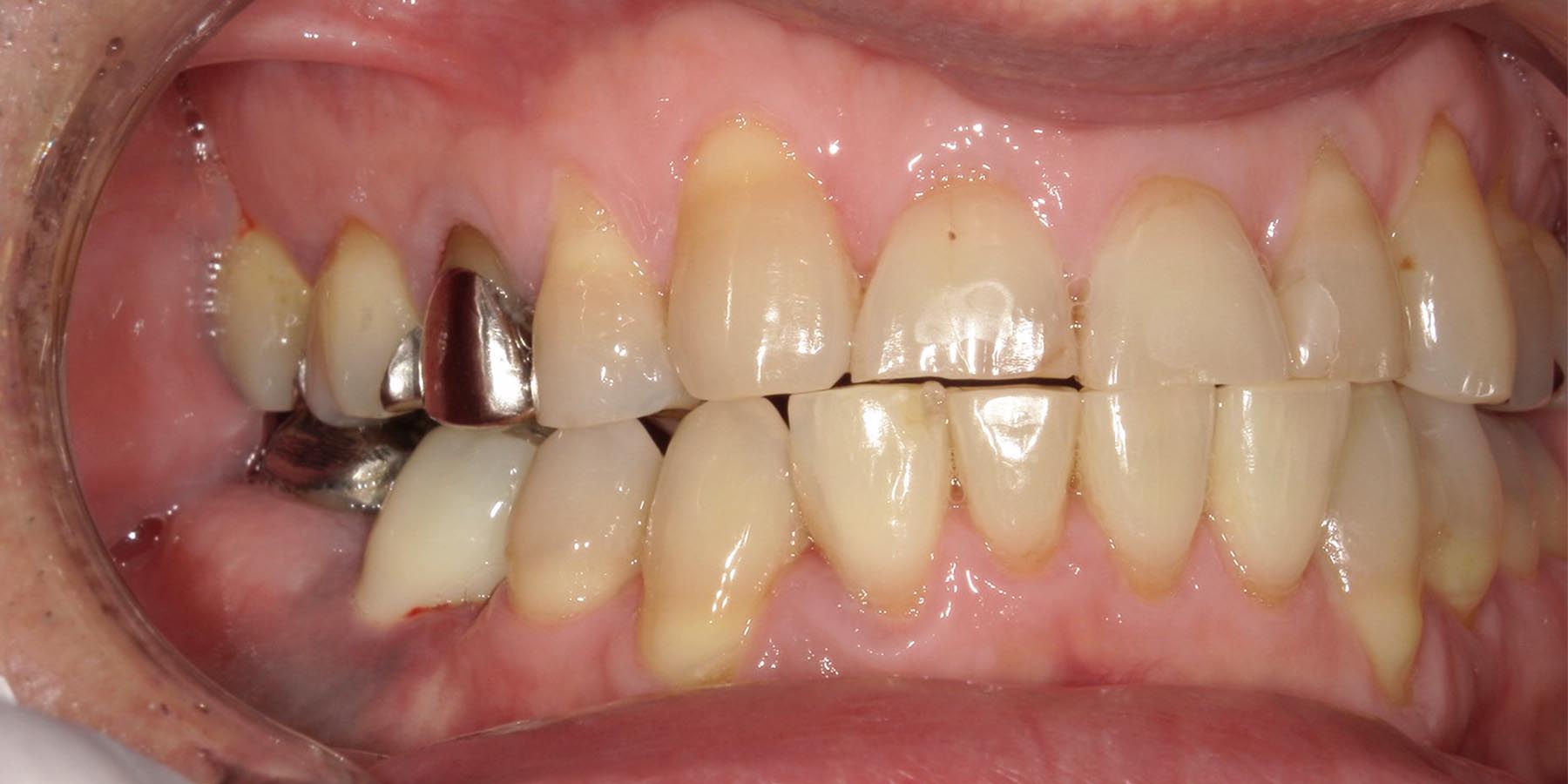
治療前

治療後

治療前

治療後

| 担当医 | 長﨑公壽先生 |
|---|---|
| 主訴 | 銀歯を白くしたい |
| 期間 | 約3ヶ月 |
| 費用 | 682,000円 |
| 治療内容 | ・左下6、左上45、右上467 セラミックインレー(6本) ・右下6、右上5 ジルコニアプレミアム(2本) |
| 治療に伴うリスク | セラミッククラウンを装着するためには、天然の歯を大きく削る必要があります。削りすぎると、歯の強度が弱くなったり、神経にダメージが及ぶことがあります。 |










LINEで予約