いつでも通いやすい小岩の歯科医院
小岩の歯医者
平日・土曜夜19時まで診療ブライトデンタルオフィス小岩
小岩の歯医者「ブライトデンタルオフィス小岩」
〒133-0052東京都江戸川区東小岩1-9-9
- 各種保険
取り扱い - 24時間
ネット予約 - 無料
駐車場完備
Bright Dental Office
- 各種保険
取り扱い - 24時間
ネット予約 - 無料
駐車場完備
News
Information小岩の歯医者
ブライトデンタルオフィス小岩
平日・土曜夜19時まで診療している小岩の歯医者です。無料駐車場2台完備。
小岩で歯医者をお探しの方は、ブライトデンタルオフィス小岩までお越しください。

いつでも通えて便利!
平日朝10時から夜19時まで診療している歯医者。
お買い物ついで・お仕事帰りにぜひお立ち寄りください。
患者さまをお待たせしないために、完全予約制とさせていただいております。
| 診療時間 | 月 | 火 | 水 | 木 | 金 | 土 | 日/祝 |
|---|---|---|---|---|---|---|---|
| 10:00~13:00 | ● | ● | ▲ | ● | ● | ● | ━ |
| 14:30~19:00 | ● | ● | ▲ | ● | ● | ● | ━ |
- 休診日
- 日曜・祝日
- 診療時間
- 午前 10:00〜13:00、
午後 14:30〜19:00
【▲】午前 9:30〜13:00、午後 14:00〜17:00
※最終受付時間は、診療終了時間の30分前
小岩の歯医者・
無料駐車場も2台分完備
無料医院駐車場が2台完備。全室完全個室で、お子様連れにも嬉しい広々としたファミリールームもご用意しております。
- 南小岩三3丁目
バス停から
徒歩2分 - 土曜
夜19時
まで - 無料
駐車場
完備
小岩の歯医者
「ブライトデンタルオフィス
小岩」
- 【電車でお越しの方】
JR総武線 小岩駅 徒歩15分 - 【バスでお越しの方】
京成バス 南小岩三丁目 徒歩2分 - 【お車でお越しの方】
医院の無料駐車場をご利用ください。
ご予約について
- ・無断キャンセルや当日キャンセルはご遠慮ください。
3回キャンセルされますと、予約ができなくなります。 - ・当院は完全予約制を導入しており、予約優先でのご案内となります。
- ・電話での予約は診療時間内のみ受け付けております。
- ・当日予約をご希望の場合、電話での受付がスムーズです。
- ・オンライン予約で枠が埋まっていても、電話にて予約を承ることができる場合がございます。
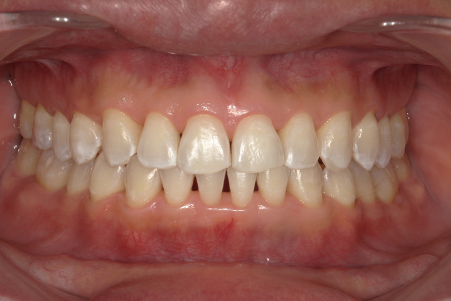
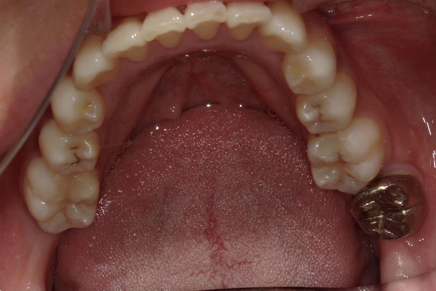
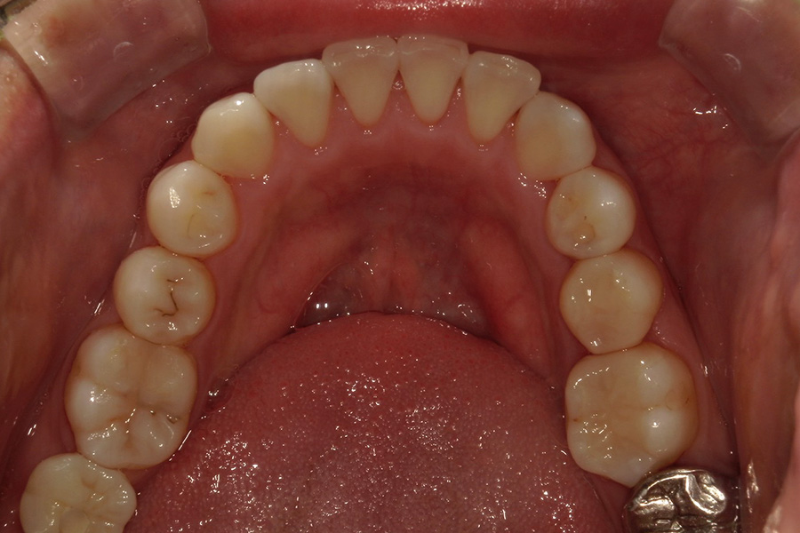
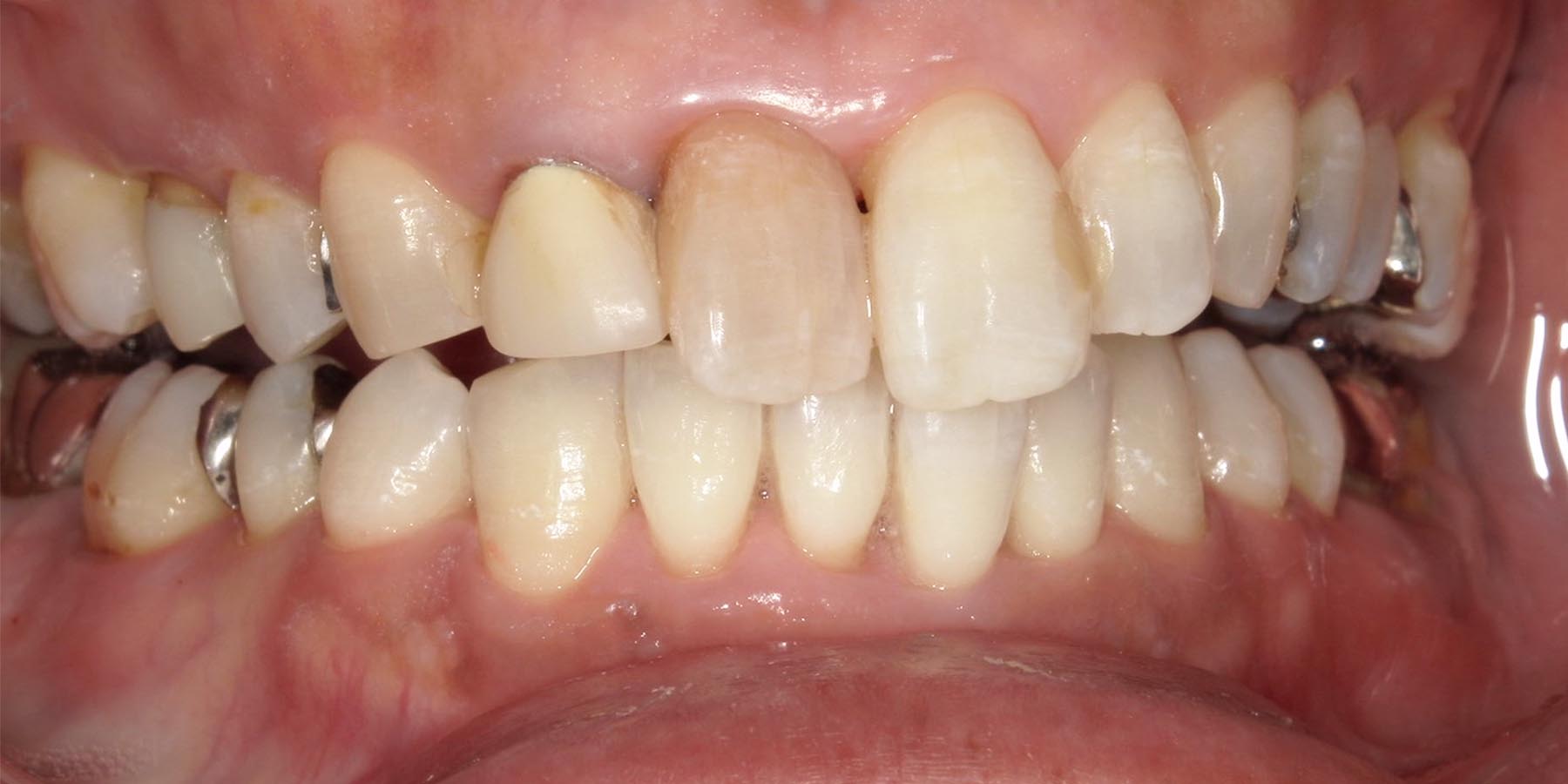
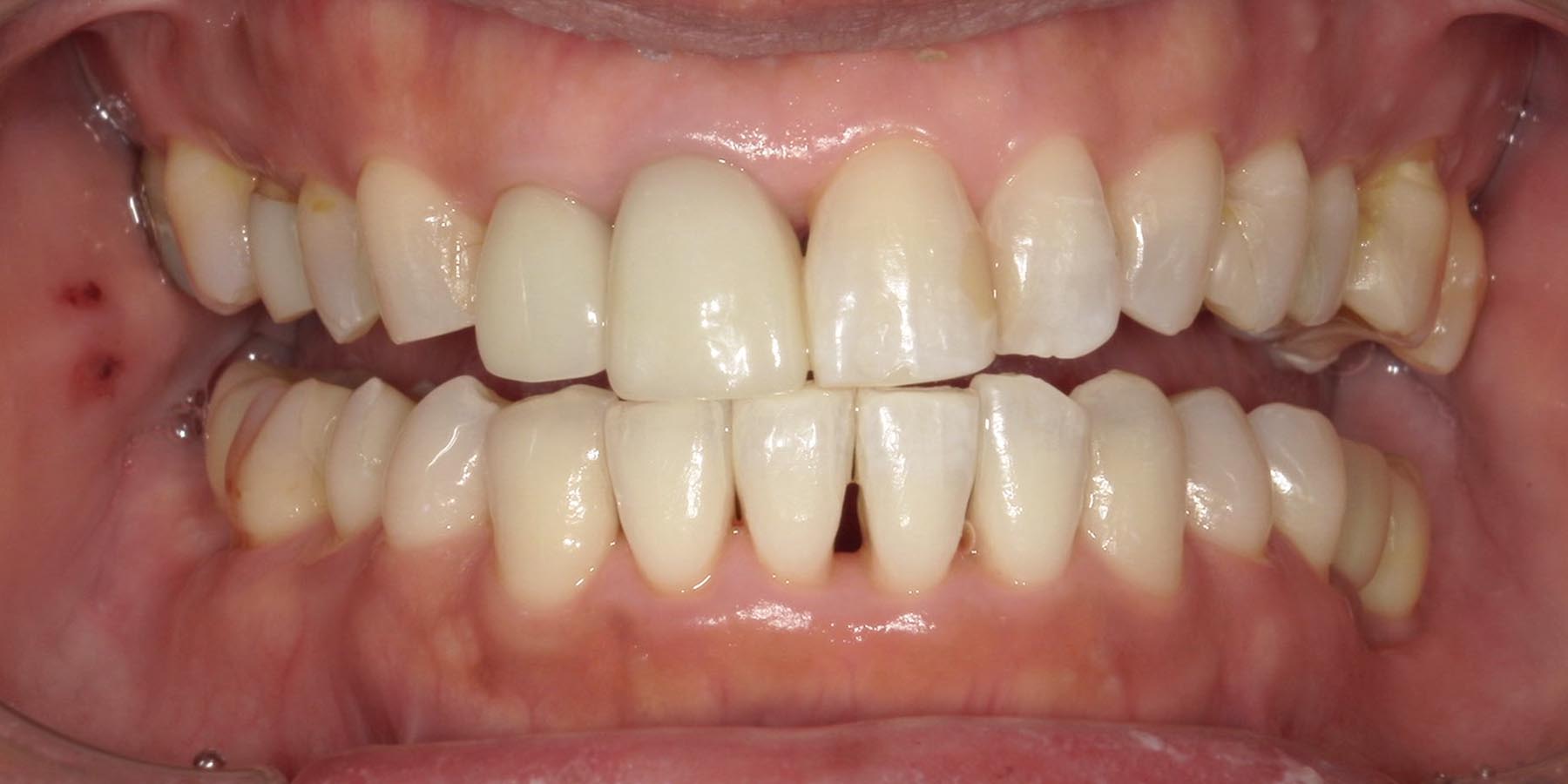
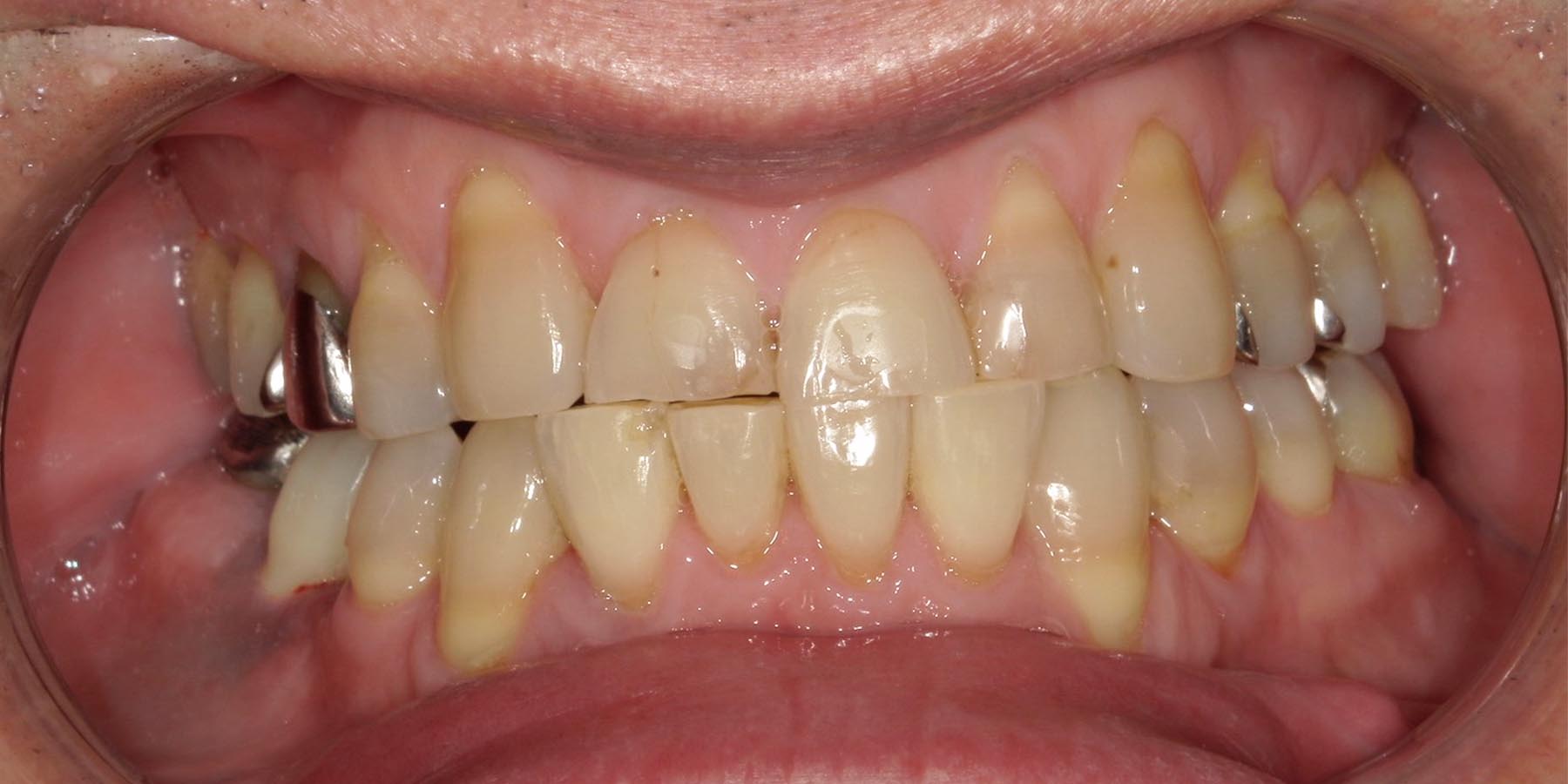
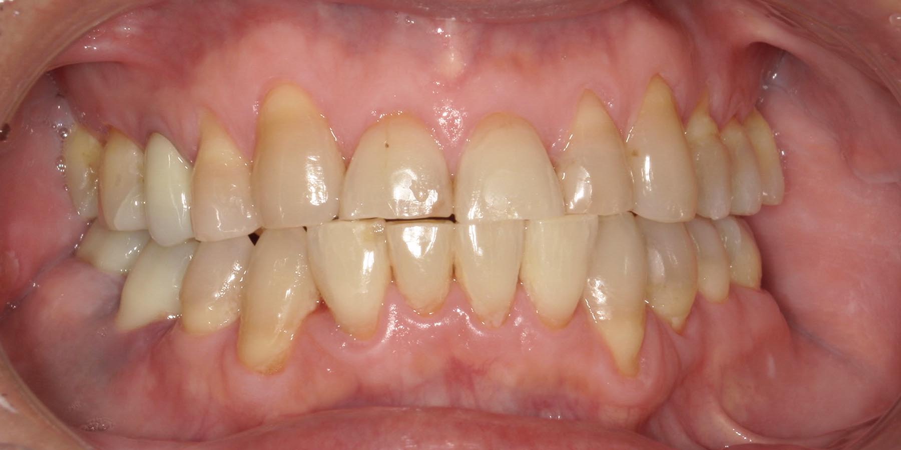
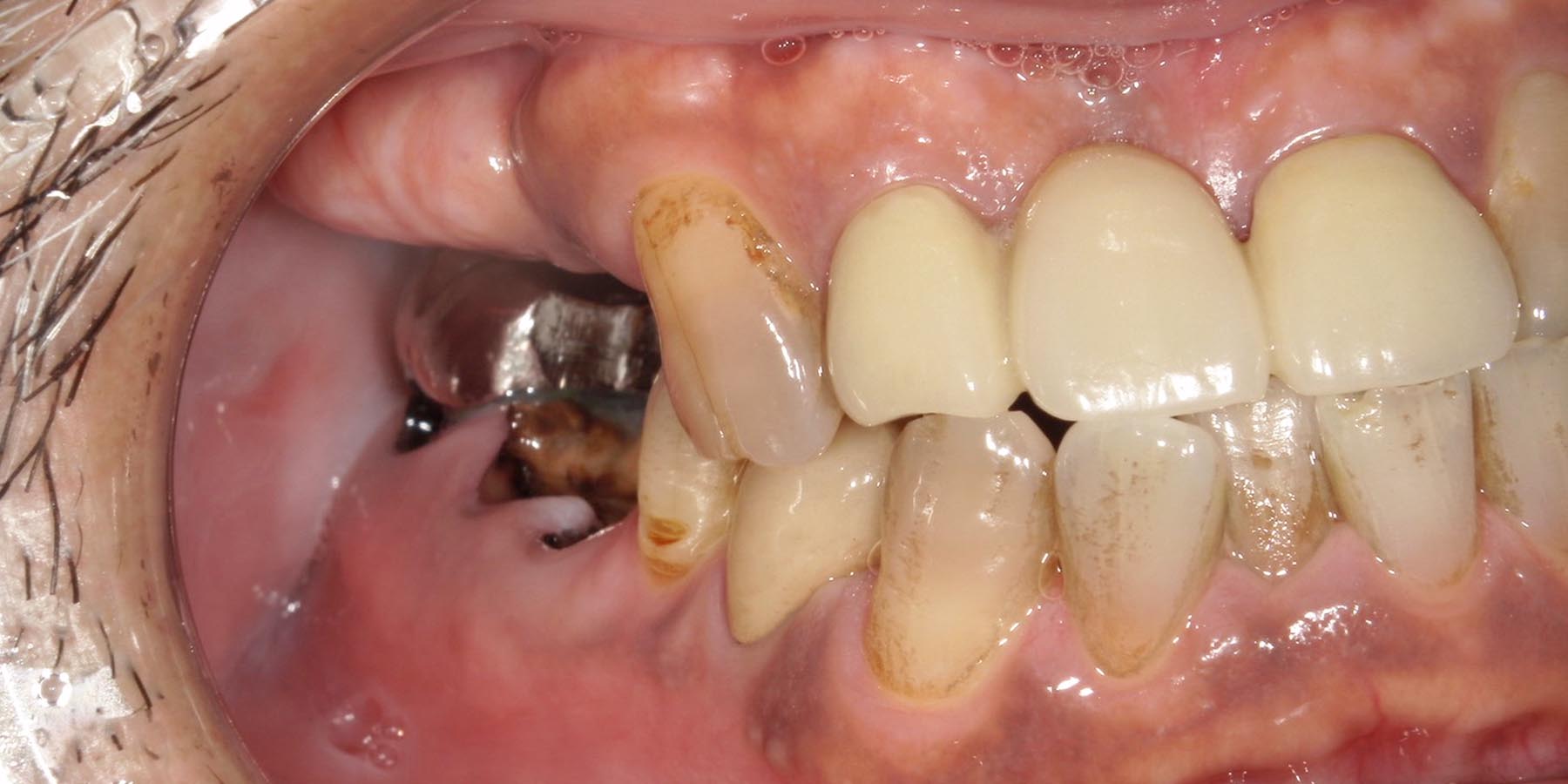
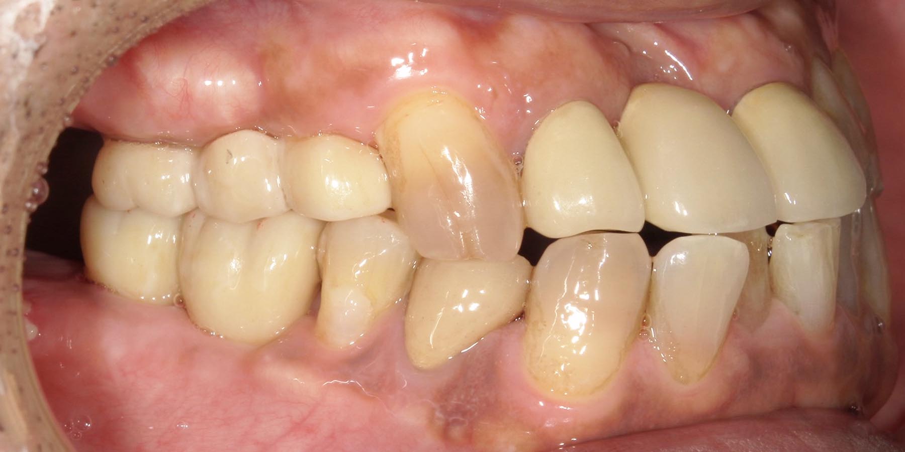
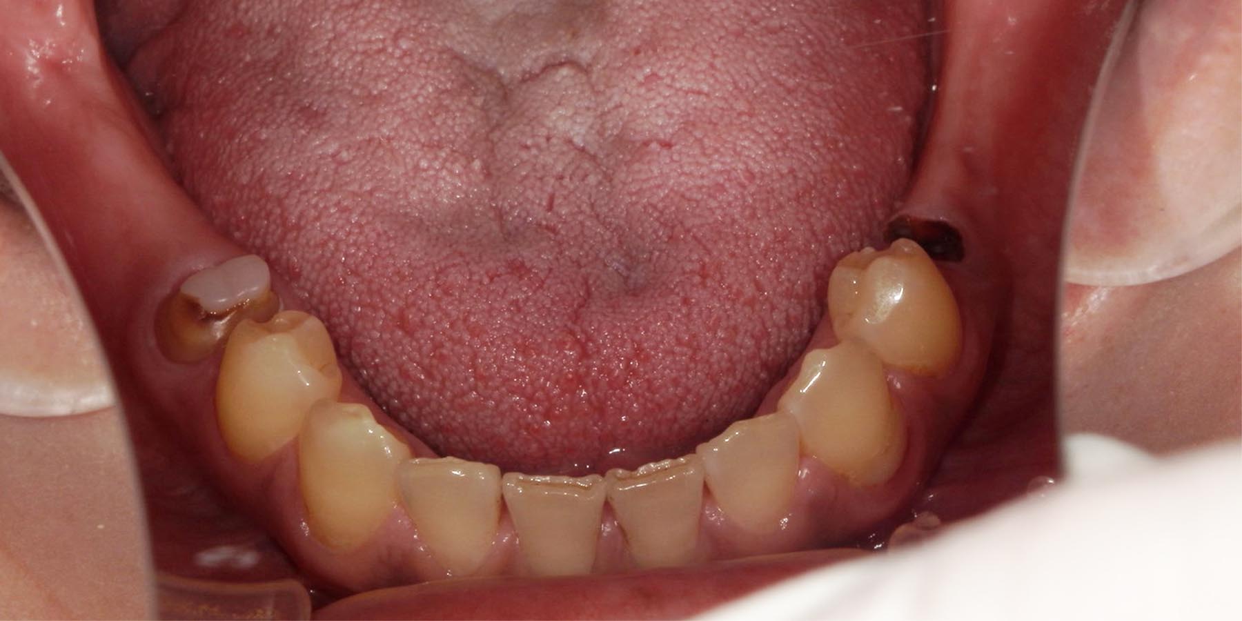
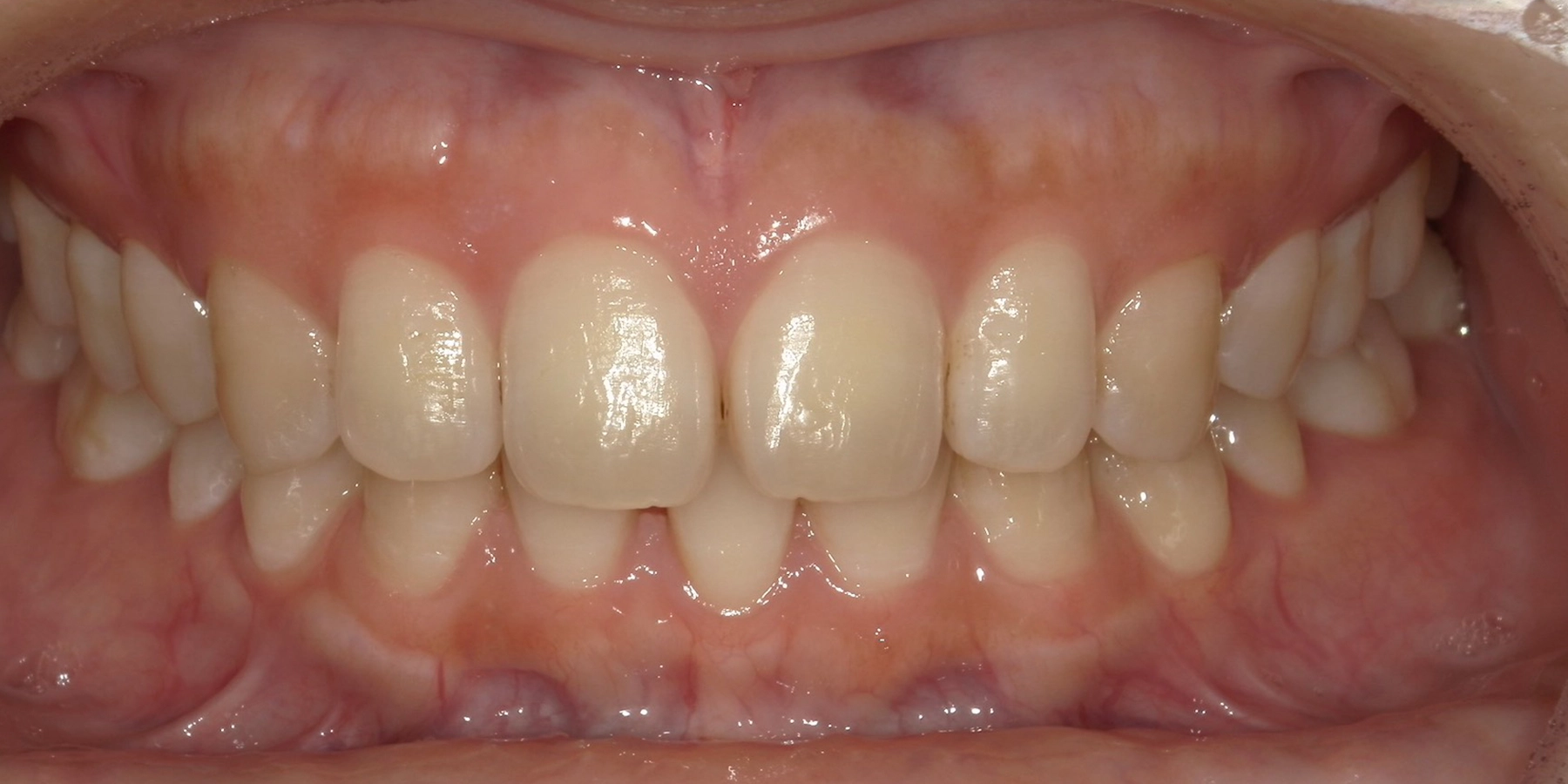
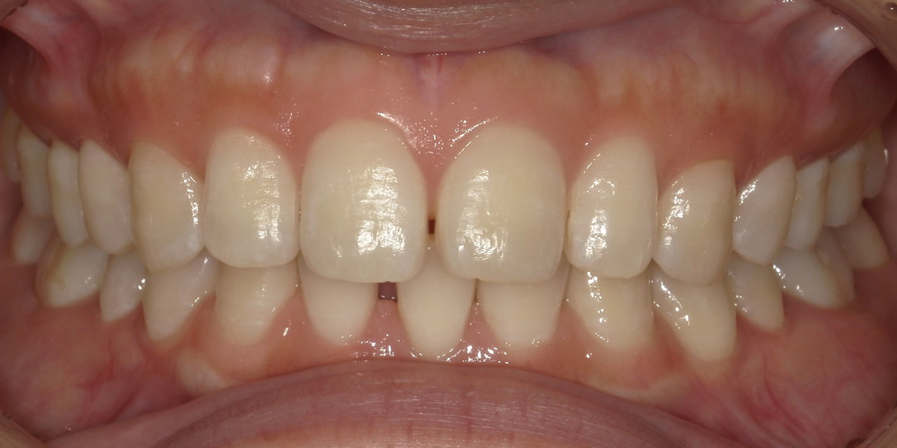
Case症例集
Concept歯科治療を通じて、
人を輝かせたい
これが私たちの理念であり、医院名に込めた想いです。
自分の歯で美味しく食事ができること、家族や友人と楽しくおしゃべりができること、自信を持った笑顔で積極的になれること。これらの日常の幸せは、健康な歯があってこそ叶うものです。
私たちは、皆さまの健康をサポートできるよう、正確な検査と診断に基づき、一人ひとりのご希望に沿った最善の治療をご提供いたします。
患者さまの人生がより豊かに、そして明るく輝き満ちたものとなりますよう、歯科治療を通じてお口の健康をサポートします。
Bright DentalOffice Koiwa
Doctor院長紹介
ブライトデンタルオフィス・小岩 院長長﨑 公壽
小岩で歯医者をお探しなら、
まずは当院へご相談ください!
こんにちは。ブライトデンタルオフィス・小岩のホームページをご覧いただきありがとうございます。院長の長﨑と申します。
私たちは歯科治療を提供するうえで、患者さまとのコミュニケーションを最も大切にしています。患者さまの数だけ治療法は異なり、しっかりとお話を伺わなければ理想的な治療法は見えてこないからです。歯科治療に対する不安や心配事を払拭できるよう丁寧にカウンセリングを行い、一人ひとりのご希望に応じた治療プランをご説明いたします。
プライバシーに配慮した個室のカウンセリングルームを完備し、なんでもご相談しやすい環境を整え、皆さまが気軽に通院できる、居心地の良いクリニックにしていきたいと考えています。
お口のお悩みは当院までご相談ください。皆さまのお越しをお待ちしております。
Team Treatment専門医療チームで
大学病院レベルの医療を
すべての患者さまに
ブライトデンタル
オフィス・小岩院長長﨑 公壽
口腔外科
ブライトデンタル
オフィス・小岩副院長長﨑 真子
歯科麻酔
ブライトデンタル
オフィス・小岩インプラント担当医林 泰生
日本口腔インプラント
学会
認定医
ブライトデンタル
オフィス・小岩矯正歯科医新井田 張
矯正歯科医
ブライトデンタル
オフィス・小岩根管治療担当医小柳 圭史
日本保存学会
認定医
ブライトデンタル
オフィス・小岩口腔外科担当医醍醐 一也
日本口腔外科学会
認定医
Featuresブライトデンタルオフィス
小岩の特徴
1
様々な治療に対応できる
専門ドクターによる
チーム医療体制当院では、患者様が満足できる歯科医療を受けていただけるように、各分野の専門治療に特化したドクターによるチーム医療体制を導入しております。治療が複雑で難易度が高いものになるほど、各分野の専門治療が必要です。
2
「歯医者が怖い方も安心」
最大限痛みに配慮した治療歯科医院が怖い・不安、とお思いの方が治療を先延ばしにしてしまうことのないように、「痛みの少ない治療」に取り組んでおります。麻酔時の注射針など、できる限り痛みを緩和する方法を選択し、常に安心できる治療環境を整えております。痛みに弱い方も、どうぞご来院ください。
3
患者さまの痛みや負担を減らし、
治療の質を高める最新の
医療設備歯科治療において、術者の経験や技術は大切ですが、人間の目には限界があります。ブライトデンタルオフィス・小岩では、歯科用CTやマイクロスコープなどの先端医療機器を積極的に導入し、治療の精度を高めています。
4
有資格者による、
安心・安全なホワイトニングブライトデンタルオフィス小岩では、日本歯科審美学会認定の「ホワイトニングコーディネーター」が在籍しており、ホワイトニングに関する専門的な知識と技術を備えた歯科衛生士が治療を担当します。
ホワイトニング専門クリニックやセルフホワイトニングが増えていますが、虫歯や歯周病がある場合は、事前に適切な治療を行わなければ、十分な効果が得られないばかりか、施術時に歯ぐきを傷つけるリスクもあります。だからこそ、当院では、ホワイトニングコーディネーターの資格を持つ衛生士が、患者様一人ひとりの状態に合わせて、最適なホワイトニング方法をご提案し、安心・安全な治療を責任を持って提供しています。
5
無料駐車場・バリアフリーで
ベビーカーや車椅子でも
来院しやすい年齢に関係なく、生涯通っていただけるクリニックであるために、車椅子の方や、足の不自由な方などにも安心してご利用いただけるよう、バリアフリーとなっております。通路なども広めに設計し、診療室は車椅子の旋回もできる余裕をもたせたスペースです。
6
居心地のよい院内空間への
こだわり
そして、安心の感染予防対策通院が楽しくなる、居心地のよい空間をご提供できるよう、患者さまのプライバシーに配慮した個室カウンセリングルーム、オペ室、半個室の診療室などもご用意。
また、世界で最も厳しい基準に準拠したクラスB滅菌器を導入し、院内の衛生管理を徹底しています。
Treatments menuブライトデンタルオフィス小岩の
診療メニュー
小岩エリアで幅広い歯科治療に対応できる歯医者をお探しですか?急な痛み、取れた腫れたなどの急患対応から、重度歯周病のような外科処置が必要な診療まで、全ての歯科治療で高い技術力を提供する小岩エリアの歯医者「ブライトデンタルオフィス小岩」へどうぞお越しください。
-
PICK UP歯を削らずに、健康な白い歯へ。
ホワイトニング
結婚式や就職活動など、大切なイベントの前に。あなたもホワイトニングで自分の笑顔に自身を持ちましょう!
-
PICK UP気になる「歯の変色」
「歯を白くしたい」セラミック治療
患者様のご希望に合わせたご提案をしておりますので、ご興味のある方はお気軽にご相談ください。
-
PICK UP気になる前歯や出っ歯を改善
インビザライン
マウスピース矯正無料カウンセリング実施中!
まずはお気軽にご相談ください。 -
PICK UP長引く痛みを取り除き、
大切な歯を守る根管治療
「大切な歯を残したい」
「歯がグラグラ・痛い」
まずはお気軽にご相談ください。
-
虫歯治療
虫歯の再発を予防
-
歯周病治療
歯茎が気になる
-
矯正治療
キレイな歯並びに
-
根管治療
マイクロスコープ使用
-
口腔外科
親知らずの抜歯から
外傷まで治療可能 -
入れ歯(義歯)
入れ歯の製作・調整
-
小児歯科
怖くない・やさしい
塗料 -
予防歯科
定期的な歯の
クリーニング -
エアフロー
着色や汚れを
効果的に除去 -
インビザライン
短期間で気になる歯並び
を
キレイに -
ホワイトニング
歯を削らずにより健康
で
白い歯へ -
噛み合わせ治療
噛み合わせ
顎関節症を治療 -
インプラント
無料カウンセリング
実施中! -
審美歯科
見た目も美しく治療
-
セラミック治療
見た目も美しく治療
-
セラミック矯正
見た目も美しく治療
-
親知らず抜歯
痛くしない親知らず
の抜歯 -
小児矯正
小さい頃から始める
矯正治療 -
口腔外傷
お口周りのトラブル
-
口腔ガン
口腔ガンの
検査・早期発見
初めて当院を受診される方へ
各種保険取り扱い
初診費用はおおよそ3,000〜5,000円
(保険適用3割負担の場合。また症状・検査内容
により多少変動いたします)
お支払い方法について
保険診療と⾃由診療ともに、現金、クレジットカードでのお⽀払いが可能です。
(また、デンタルローンによる分割払いもご利⽤いただけます。)






















LINEで予約